
La place des plasties coronaires lors des réhabilitations prothétiques
par Jean-François Carlier
En matière d’occlusion, il convient de revenir aux principes fondamentaux de calage et de guidage pour appliquer des solutions simples à ces situations cliniques compliquées que sont les béances et surplombs en prothèse. L’objectif est d’optimiser ces fonctions, réduites par l’anomalie d’architecture des arcades, par des coronoplasties additives (ajout de volume pour le guidage et le calage) ou soustractives (fraisage, meulage et corrections sélectives).
En classe III, le patient réduit la mastication à une action de cisaillement, car la latérotrusion conduit à une incapacité à confronter les tables occlusales, surtout si l’angle cuspidien est fort.
En classe II-1, la mastication est essentiellement en rétrusion avec un guidage molaire. Les translations condyliennes (propulsion et latérotrusion) sont réduites du fait de la proximité des guidages avec les axes instantanés de rotation condyliens.
Lors de l’examen clinique de l’occlusion, le marquage des points de contact à l’aide de papier articulé permet :
• d’évaluer la qualité de l’OIM et de repérer les structures qui peuvent être optimisées ;
• de vérifier le calage de la mandibule (instructif en cas de béance où les contacts postérieurs sont moins nombreux et moins répartis sur l’arcade) ;
• d’identifier les dents fonctionnelles qui assurent le guidage.
La participation des dents au guidage est dépendante de la quantité du surplomb et du recouvrement. Plus l’angle intracoronaire est fermé, plus la dent participe à la fonction de guidage ;
• de détecter des interférences ou des « surguidages » et de mettre en évidence des contacts travaillants et non travaillants.
Les surfaces dentaires imposent les trajectoires mandibulaires sous le contrôle de la proprioception. On accordera une prédominance du guidage des dents les plus antérieures (pouvoir de discrimination plus élevé). L’enveloppe des mouvements fonctionnels est fondée sur un réflexe d’évitement. Les interférences viennent perturber le guidage. Elles peuvent être travaillantes ou non travaillantes.
Pour quelle fonction doit-on opter ?
• en cas de classe I, la désocclusion canine est économe et sera privilégiée ;
• en classe II-1 ou III, la fonction de groupe s’impose.
Un contact uniquement antérieur entraîne une inhibition des élévateurs, à la différence d’un contact molaire simultané. Dans les cas de béance antérieure complète, il existe des interférences postérieures dans tous les mouvements de translation condylienne. L’incapacité à affronter les dents antérieures inhibe les mouvements de translation qui exposeraient les molaires à des contraintes excessives. La mastication est essentiellement horizontale, en cisaillement. Les pistes pour optimiser le guidage sont, entre autres : l’orthodontie, la chirurgie orthognatique, une réduction de la DVO grâce aux meulages. Si le parodonte le permet, les coronoplasties sont privilégiées.
En antérieur, elles seront additives par remodelage et renforcement des structures de guidage. En postérieur, elles seront soustractives si l’on conserve la position de référence articulaire, et additives si l’on recrée une position de référence en antéposition mandibulaire. Chez ces patients, la réalisation de prothèse implique une relation intermaxillaire de référence indépendante des dents et reproductible : la relation centrée. L’arc facial de transfert est indispensable pour resituer les modèles d’étude sur l’articulateur.
Une patiente vient consulter pour des problèmes musculaires en relation avec une instabilité de l’OIM. Elle présente des migrations dentaires, une asymétrie de fonction et
une latérodéviation gauche. Le guidage antérieur est inefficient.
Pour l’optimiser, il faut passer par analyse occlusale sur des modèles montés en articulateur en RC. De nombreuses contraintes obliques s’exercent sur les dents postérieures, notamment la 26, qui supporte la diduction. L’analyse occlusale va permettre de simuler les corrections et d’évaluer leur pertinence dans le cadre de l’objectif recherché, sans caractère invasif, et de quantifier le coût tissulaire de ces corrections.
Malgré les corrections apportées, le guidage obtenu n’est pas satisfaisant, et des corrections de plus grande ampleur pourraient être effectuées. Le risque est de modifier de façon exagérée le schéma occlusal fonctionnel de la patiente.
La prudence nous incite à préférer des coronoplasties additives pour optimiser le guidage. Des apports de cire sur le modèle sont destinés à renforcer les crêtes de guidage et obtenir la symétrie des excursions. Une clé des modifications réalisées est prise en silicone transparent, selon la technique de Francesca Vailati et enduite de composite. La clé est replacée sur les dents, préalablement mordancée au niveau des zones de correction.
Légendes des photographies :
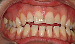
Photo 1- Dans cette classe III, la mastication se réduit à une action de cisaillement.
Photo 2 - Dans cette classe II-1, la mastication est essentiellement en rétrusion avec un guidage molaire.
Photo 3 - Dans cette classe I, la désocclusion canine est économe et sera privilégiée en prothèse.
Photo 4 - La fonction de groupe s’impose : elle sera plus économe si les guidages sont supportés antérieurement.
Photo 5 - En diduction gauche, cette patiente en classe I présente une fonction de groupe supportée par 23 et 24 avec une bonne désocclusion du secteur nontravaillant.
Photo 6 - En diduction droite, la 33, vestibulée et en infraclusion, crée des interférences non travaillantes sur 24 et 25 et une surcharge sur la 11, qui présente une légère mobilité.
Photo 7 - Un apport de composite fluide sur les versants MI des cuspides V de 14 et 15 mordancés vient prendre en charge le guidage.
Photo 8 - Le guidage en diduction devient suffisamment efficient pour éliminer les interférences dans le secteur non-travaillant observées sur 24 et 25.