La prise de décision thérapeutique
par Véronique Dupuis
La personne âgée est-elle un patient comme les autres ? Oui et non : nous ne pouvons nous interdire la mise en place de traitements complexes, mais nous devons prendre en considération les impacts et l’origine des altérations inhérentes au vieillissement. Les traitements doivent contribuer au maintien ou à l’amélioration de la qualité de vie des patients, à leur « bien-vieillir ». À noter que les réseaux de soins constitués de dentistes volontaires sont en nombre insuffisant en France pour prendre en charge ce type de patients.
Dans notre prise de décision interviennent de nombreux facteurs comme l’environnement de vie, l’autonomie, le contexte local, l’état de santé général, l’âge civil, l’âge réel, la persistance ou non de dents, etc. Lorsque l’on soigne des personnes âgées, il faut prendre en compte leur état de santé général. Aujourd’hui, on rencontre néanmoins beaucoup de patients âgés dont la santé est compatible avec des thérapeutiques complexes telles que celles impliquant de l’implantologie. Il faut toujours garder à l’esprit que ces patients vont continuer à vieillir, plus ou moins bien. Le schéma de Bouchon nous permet d’appréhender ce processus de vieillissement physiologique impacté par les maladies chroniques ou aiguës qui peuvent engendrer des insuffisances passagères ou permanentes chez l’individu. La santé bucco-dentaire a un rôle primordial et nous devons contribuer, par nos traitements, à faire remonter les patients au-dessus du seuil d’insuffisance lorsque celui-ci est atteint.
Certains de nos patients d’âge avancé conservent leur bonne santé et leur dynamisme, alors que d’autres, plus jeunes, sont déjà diminués. En fonction des critères généraux et locaux qui vont avoir un impact sur leur qualité de vie, il faut essayer de maintenir en place une stratégie adaptée. Un de ces critères est le contexte de vie. Le patient vit-il seul ? Est-il autonome, sociabilisé ? Bénéficie-t-il d’un entourage aidant et de moyens financiers ?
Les facteurs déterminants les plus importants sont le désir et l’attente du patient. Lorsqu’une famille, confrontée à la décrépitude de l’état dentaire du patient, emmène le patient chez le chirurgien-dentiste, elle exige parfois des traitements que le patient lui-même ne désire pas. Or, l’appareillage demande une motivation et un effort réel de la part du patient. S’il n’est pas prêt à les faire, on peut être confronté à l’échec. Notre décision doit prendre en compte, outre ce facteur de motivation, la capacité du patient à maintenir une bonne hygiène. Chez la personne âgée, il faut anticiper la perte graduelle des fonctions. Lorsque l’on fait référence au schéma de Bouchon, il faut se rappeler que certains patients peuvent décliner très vite et passer sous le seuil d’incapacité. On doit donc réaliser des soins plus conservateurs, effectuer une mise en oeuvre appropriée et concevoir des prothèses adaptables.
Le cas d’un patient denté
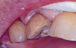
La dent est un atout inestimable. La plus belle prothèse ne compensera jamais la dent originelle, fût-elle très délabrée. Il faut savoir retarder l’avulsion et conserver au maximum les dents au moyen, par exemple, des ciments verres ionomères et des techniques sandwichs (cela permet également de maintenir des appareils fonctionnels). La prothèse fixée, dont l’implantologie fait partie, est celle qui permet de maintenir le plus le potentiel masticatoire. On peut pratiquer des overdentures qui sont un moyen de conserver la dent et donc de l’os. Il s’agit d’un traitement a minima qui permet d’éviter des extractions contre-indiquées pour des raisons de santé générale ou prothétiques. Il faut également penser à réaliser des prothèses adaptables que l’on peut faire évoluer, en évitant les prothèses trop complexes.
Le cas d’un patient édenté
On aménage et on maintient les prothèses préexistantes lorsque la motivation et les moyens (financiers et psychologiques) sont insuffisants. Certains matériaux nous autorisent des rebasages extemporanés. On doit avoir à l’esprit que l’abstention est aussi une thérapeutique. Mais une grande question reste : allons-nous appareiller ou non ? La réponse à cette interrogation implique la prise en compte permanente des quatre facteurs suivants : le terrain, le psychique, le physiologique et le psychologique.
En conclusion, nous sommes amenés à réaliser des soins conservateurs et des réparations prothétiques qui nous demandent du travail et rendent un résultat moins parfait que des thérapeutiques complexes, mais qui, au final, offrent au patient plus de confort et moins de perturbations.
Les points clefs :
1. Participer par nos traitements à la qualité de vie des patients, à leur « bien-vieillir ».
2. Garder à l’esprit que ces patients vont continuer à vieillir.
3. L’appareillage demande une motivation et un effort de la part du patient.
4. Réaliser des soins plus conservateurs, effectuer une mise en oeuvre appropriée.
5. Concevoir des prothèses adaptables.
Légende des photographies :
1 - Les soins conservateurs sont à privilégier. Ici restauration par CVI conventionnels…
2 - Ici, c’est la technique « sandwich » (CVI + composite) qui a été utilisée.
3 - La prothèse fixée est idéale pour conserver au patient ses dents et un potentiel masticatoire adapté.
4 - La conservation de la fonction masticatoire passe par la restauration prothétique et des dents supports.
5 - Mise en condition tissulaire et réadaptation en préalable à toute adjonction ou remplacement de dent prothétique.
6 - Aménagement du joint postérieur au fauteuil.
7 - Schéma de Bouchon.
8 - Dans la mesure du possible, les réparations devront être effectuées au fauteuil.