Voyage-congrès – Avril 2012 – Île Maurice
La greffe gingivale libre est-elle toujours d’actualité ?
par Bernard Schweitz
Avant les années 1970, les convictions sur le rôle protecteur de la gencive étaient qu’une certaine hauteur de gencive autour des dents permettait le maintien de la santé parodontale. Par le biais d’études cliniques, des approches censées être plus rationnelles ont fait ensuite leur apparition. En 1972, Lang et Loe ont réalisé une étude déterminante à partir de simples observations cliniques. Ils constatèrent que les sites dont la hauteur de gencive était minime apparaissaient plus inflammatoires que les sites dont la gencive avait une hauteur importante. Ils en conclurent qu’un minimum de 2 mm de gencive était nécessaire au maintien de la santé parodontale et à la stabilité de la gencive marginale. Une faible hauteur de gencive pouvait alors être augmentée grâce à une greffe gingivale libre.

Plusieurs études ont apporté des arguments démontrant la non-validité de ce postulat. La finesse de l’épithélium couvrant un tissu muqueux marginal laisse apparaître les vaisseaux sanguins, donnant l’impression clinique d’une inflammation marginale, ce qui a probablement biaisé les conclusions de Lang et Loe. Le suivi à long terme de sites à faible hauteur de gencive montre une stabilité identique par rapport aux sites à grande hauteur de gencive.
Enfin, la création de gencive par des greffes gingivales libres ne confère pas davantage de stabilité marginale à long terme par rapport à des sites controlatéraux disposant de peu de gencive.

En conclusion, la santé parodontale et la stabilité de l’attache ne sont pas liées à la hauteur de gencive et les greffes gingivales libres dites « prophylactiques » n’ont pas d’intérêt.
En revanche, divers arguments ont montré que la notion d’épaisseur des tissus gingivaux était un critère plus important que la hauteur de gencive. L’argument majeur étant que l’infiltrat inflammatoire généré par la présence de plaque dentaire n’occupe pas la totalité du tissu conjonctif marginal lorsque les tissus sont épais, ce qui lui donne une plus grande résistance.
Une option exploitable pour des cas précis
Face à ces diverses démonstrations, le fait d’augmenter la hauteur de gencive grâce à des greffes gingivales libres est tombé en désuétude par rapport à l’utilisation du tissu conjonctif enfoui, qui permet d’épaissir les tissus de façon prévisible. De plus, le résultat esthétique est sans comparaison avec la greffe libre, notamment lorsqu’un recouvrement radiculaire est recherché et qu’un greffon épithélio-conjonctif épais est alors utilisé. Enfin, le taux de recouvrement est meilleur avec les techniques de conjonctif enfoui. Cependant, il existe toujours des indications à la greffe gingivale libre. Ces indications existent principalement en présence de situations cliniques dans lesquelles les tissus attenants ne permettent pas le maintien d’un environnement parodontal exempt d’inflammation par un brossage correct. Ces situations sont presque exclusivement retrouvées à l’arcade mandibulaire, notamment en présence de récessions gingivales profondes allant au-delà de la ligne muco-gingivale (classes II et IV de Miller) ou de brides muqueuses à insertion marginale. De même, autour des implants, en l’absence de tissus kératinisés, le brossage est difficilement performant. S’il est souvent possible de manipuler les tissus au maxillaire en décalant les incisions pour obtenir un tissu kératinisé vestibulaire, certaines situations mandibulaires peuvent bénéficier de greffes gingivales libres pour créer un environnement tissulaire dont la santé sera ainsi plus facilement maintenue. Enfin, lorsque l’éruption dentaire se fait en dehors du couloir gingival (souvent en vestibulaire), le tissu marginal est muqueux et se retrouve fin et fragile. La faible maturité du tissu conjonctif palatin fait fréquemment choisir la greffe gingivale libre pour recréer les conditions parodontales normales de l’éruption dentaire. Lorsque la gencive voisine le permet, le lambeau translaté latéralement reste une alternative séduisante.
Légendes des photographies :
photo.1 : Bride muqueuse à insertion marginale, blessures répétées lors du brossage.
photo.2 : Après greffe gingivale libre, le parodonte marginal est sain et stable. Prothèse : Dr D. Oliel.
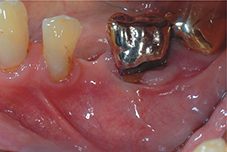
photo.3 : Hygiène impossible à réaliser et inflammation gingivale chronique.
photo.4 : Environnement sain après greffe gingivale libre, le recouvrement partiel et l’aspect disgracieux étant peu préjudiciables dans le site concerné.