Les facteurs d'une situation péri-implantaire idéale
 
par Étienne Waltmann
En passant systématique- ment en revue tous les éléments à prendre en compte lors de la prise de décision thérapeutique, Étienne Waltmann a exposé les facteurs locaux qui déterminent une situation implantaire idéale. Ces différents facteurs, tout comme l’ostéo-intégration, sont aujourd’hui bien connus et codifiés. Ses propos ont été largement illustrés par des images d’échecs permettant d’objectiver l’importance de chaque point traité.
Les objectifs thérapeutiques en implantologie sont communs à l’odontologie en général. Ils consistent à rétablir la fonction et l’esthétique tout en permettant la prophylaxie. En premier lieu, les contre-indications absolues et relatives de l’implantologie sont celles de toute chirurgie. Ensuite, l’âge du patient est à prendre en considération : il faut savoir différer un traitement du secteur antérieur, la croissance faciale continuant au-delà de 25 ans et pouvant se poursuivre jusqu’à 35 ans.
Le grand âge, quant à lui, n’est pas une limite au traitement implantaire s’il répond à la demande du patient, et dans la mesure où l’environnement buccal et général n’est pas difficile à gérer. Mais il faut savoir renoncer si l’environnement implantaire est complexe.

Ce préambule posé, Étienne Waltmann a détaillé les facteurs liés à l’environnement dentaire, mu- queux et osseux qui, bien évidemment, interagissent mais qui, pour les besoins pédagogiques de la présentation, sont traités successivement.

Au niveau coronaire, l’espace pro- thétique est à aménager en amont de la pose de l’implant. L’analyse radiologique de l’espace coronaire ainsi que de l’espace radiculaire est complétée par un montage directeur qui permettra de valider le traitement et de préparer l’environnement adjacent et antagoniste de la zone à implanter, en ménageant un espace coronaire nécessaire et suffisant pour la future dent artificielle. Es- pace nécessaire et suffisant, car l’excès de place est aussi difficile à gérer que le manque de place. Le montage directeur permettra de valider l’espace coronaire, mais il faudra bien veiller à ce qu’il y ait un espace radiculaire disponible suffisant pour l’insertion de l’im- plant. Il faut donc penser l’aménagement de l’espace coronaire ET osseux.

Au niveau cervical, une distance minimale de 3 mm entre deux cols implantaires sera la règle pour placer les implants à 7 mm les uns des autres lors qu’ils sont côte à côte. Le respect de ces données permet de faciliter l’hygiène buccale du patient. Leur non-respect est rapide- ment sanctionné par des problèmes de papilles et de cratérisation, l’entretien péri-implantaire devenant problématique pour le patient. Lors de l’analyse coronaire, il faudra prendre en compte l’ensemble de la cavité buccale du patient, de ses prothèses fixes ou amovibles ainsi que de ses éventuelles para- fonctions (bruxisme).

La muqueuse péri-implantaire n’ayant pas la même structure histologique que celle qui entoure la dent, ses capacités de défense sont moindres, la maladie péri-implantaire se développe plus rapidement et est plus difficile à gérer. La prophylaxie à adopter est identique à celle à mettre en œuvre au ni- veau des dents naturelles, la flore bactérienne étant la même. D’où l’importance d’une muqueuse et d’une papille de qualité.
 
La gestion de la muqueuse péri-implantaire est à anticiper avant la pose de l’implant. Les reconstructions prothétiques sont à réaliser dans un continuum afin de mener à bien l’ensemble de la thérapeutique dans une économie d’inter- ventions et de temps. Il est toujours possible de modifier une muqueuse présentant un déficit esthétique ou fonctionnel après la pose de l’im- plant, mais il faudra alors multi- plier les interventions. L’environnement osseux se doit de respecter des règles également bien codifiées.
 
Quantité d’os au ni- veau du col implantaire, position de ce col par rapport aux dents ad- jacentes, axe et ancrage primaire constituent les critères de choix qui devront être aménagés avant la pose de l’implant. L’ostéo-inté- gration ne nécessitant pas l’en- fouissement de l’implant, la pose d’un élément cosmétique ou provisoire lors de la mise en place de l’implant va permettre d’optimiser la cicatrisation gingivale en la guidant. La longueur et le diamètre souhaitables de l’implant ont été également abordés, en mettant l’accent sur l’importance de la position du pro- fil d’émergence par rapport au volume osseux et à la gencive attachée. L’anticipation est donc le maître mot de cette présentation plaidant pour un positionnement d’emblée «idéal» de l’implant.
Légendes des huit photographies :
photo 1-
Cliché panoramique d’un homme de 30 ans. on observe les agénésies des prémolaires maxillaires, avec persistance des molaires lactéales 55 et 65 rhizalysées. Que ce soit au niveau osseux ou coronaire, les espaces disponibles sont insuffisants pour la mise en place de quatre prémolaires sur implants. un traitement d’orthodontie doit être envisagé.
photo 2-
Les aménagements orthodontiques aboutissent à la création des espaces requis, pour la mise en place de quatre implants en lieu et place des racines des prémolaires.
photo 3-
Le positionnement adéquat des implants dans l’espace édenté autorise la construction de couronnes transvissées directement dans les implants. ce type de construction permet de travailler les émergences de manière idéale, avec restitution d’un feston muqueux à la fois fonctionnel et cosmétique.
photo 4-
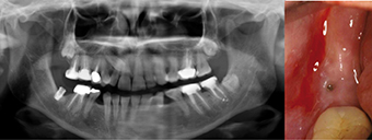
Cliché panoramique d’une femme de 45 ans qui demande le remplacement de la deuxième molaire mandibulaire droite (47) par une couronne sur implants. La patiente est adressée au spécialiste pour avis chirurgical et mise en place de la racine artificielle. Plusieurs autres dents sont absentes et non remplacées. Des déplacements dentaires conséquents sont observés, notamment les égressions des 16 et 17.
photo 5-
Un implant a été incorporé en 47 par le praticien, sans qu’aucune correction des malpositions soit envisagée. après ostéo-intégration, une couronne sera installée par l’omnipraticien.
photo 6-
Cinq ans après la mise en place de l’implant, la patiente retourne vers le chirurgien pour avis, suite aux dévissages récurrents de la couronne. un nouveau cliché panoramique permet de constater une perte sévère du niveau osseux autour de l’implant. La zone exprime du pus à la pression digitale.
photo 7-
L’observation clinique montre qu’aucun aménagement des espaces n’avait été mis en œuvre pour restaurer l’espace naturel de la couronne de 47. L’égression de 17 occupe la place de 47. La patiente a conservé les modèles de travail. La mise en place de la couronne sur ce modèle montre que la couronne de 47 n’est pas dans le plan d’occlusion adéquat. Ni la position du point de contact ni le profil des embrasures sont en conformité avec les exigences fonctionnelles et prophylactiques les plus élémentaires. La fracture de la céramique et le développement d’une péri-implantite en sont les conséquences inévitables.
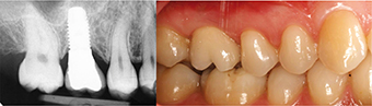
photo 8-
La situation péri-implantaire idéale est réalisée lorsque l’espace prothétique et le volume osseux résiduels permettent de placer la racine artificielle dans une situation qui favorise la construction d’une couronne dont les contours répondent à toutes les caractéristiques d’une dent naturelle, à savoir l’émergence gingivale, les embrasures, la face occlusale, les angles de transition et les points de contact.