Comprendre l’usure des dents : la clef du diagnostic
par Richard Kaleka
Si l’on écarte l’usure occlusale, perçue intuitivement comme le vieillissement naturel des dents, les manifestations d’usure accélérée sont associées le plus souvent au bruxisme, parafonction occlusale polymorphe. Ces 30 dernières années, l’intérêt croissant des études sur la vulnérabilité des tissus dentaires à l’usure a mis en évidence plusieurs processus entraînant une destruction non carieuse des surfaces dentaires exposées (émail, dentine et dans une moindre mesure cément).
Trois étiologies sont possibles :
• L’attrition est une usure mécanique physiologique résultant des contacts dento-dentaires occlusaux et proximaux. Elle crée des surfaces d’usure ou « facettes » bien reconnaissables car nettement délimitées et polies au niveau des surfaces triturantes et qui correspondent à des facettes sur l’arcade antagoniste. Cette usure peut être accentuée par une habitude parafonctionnelle comme le bruxisme.
• L’abrasion est une usure dentaire par friction causée par des contacts dynamiques impliquant des corps abrasifs. Elle découle d’un brossage agressif des dents et des gencives, de nettoyages interproximaux traumatiques ou d’habitudes alimentaires et se situe majoritairement dans le tiers cervical. L’usure du collet est liée à la moindre dureté des tissus radiculaires en présence de récession gingivale. L’usure par abrasion diffuse correspond à l’abrasivité des aliments ou de particules aéroportées (poussière, sable) dans certains environnements.

• L’érosion dentaire est la conséquence d’un processus chimique de dissolution de l’émail. L’exposition aux acides alimentaires (sodas, jus de fruits, alcools, condiments, etc.) s’est considérablement accrue dans les habitudes de la vie moderne. De plus, les désordres nutritionnels tels que l’anorexie ou les vomissements sont souvent cachés et les reflux gastro-oesophagiens restent souvent imperceptibles. L’érosion dentaire peut se combiner aux mécanismes physiques affaiblissant la surface et la structure des tissus durs que sont l’attrition et l’abrasion. Dans la clinique, ces processus sont rarement univoques : ils peuvent se succéder sur de longues périodes ou se superposer simultanément, ce qui rend le diagnostic plus difficile.
Établir un diagnostic
Il est fréquent que le motif de consultation soit biaisé, le patient se plaignant d’une carie. Le premier signe clinique associé est généralement une hypersensibilité cervicale ou occlusale, manifestant un début d’exposition dentinaire. La recherche d’un sillon cervical, parfois sous gencive, et un simple test au froid doivent permettre de réaliser le diagnostic. La dent sera traitée symptomatiquement en priorité.

Lors de l’interrogatoire et de l’entretien cliniques, le praticien devra s’enquérir des habitudes de vie quotidienne (hygiène buccale, alimentation, pathologies et traitements sialoprives). L’observation des surfaces dentaires de l’ensemble des arcades avec des aides visuelles est indispensable, même en cas de lésion isolée. La clinique démontre la combinaison des processus qu’il est désormais possible de décrypter car chaque processus crée un faciès d’usure spécifique sur les diverses surfaces dentaires. On pourra alors définir l’étiologie de ces lésions en se basant sur une description qualitative et quantitative des usures. Au total, la compréhension des mécanismes étiologiques d’usure et l’expérience acquise par le praticien doivent permettre d’établir un diagnostic aussi précoce que possible.
Grâce à ce diagnostic, des mesures de prévention pourront être mises en place : contrôle et modification des habitudes de vie et d’hygiène, utilisation de protocoles et de produits conservateurs de la dent ou encore traitements précoces de pathologies digestives et de désordres alimentaires. Plus l’interception sera précoce et adaptée, plus grandes seront les chances de conserver le patrimoine tissulaire dentaire des patients dans un état fonctionnel et esthétique optimal.

Les points clefs
1. L’usure des dents est un processus physiologique qui peut s’accélérer sous l’effet de facteurs aggravants ou ralentir grâce à des facteurs protecteurs. L’examen clinique et l’entretien donnent un instantané qui doit être analysé. Cette analyse implique la connaissance des mécanismes d’usure et la capacité d’en décrypter les signes les plus ténus.
2. La situation clinique la plus fréquente est le signe d’appel : l’hypersensibilité dentinaire du fait d’une exposition dentinaire primitive. L’interrogatoire est essentiel pour orienter le diagnostic différentiel. L’examen avec des aides optiques est indispensable pour le diagnostic positif précoce.
3. Les modalités mécaniques (attrition, abrasion) sont plus évidentes que la modalité chimique (érosion), mais cette dernière est celle qui module les deux autres (c’est le « bandit caché »).
4. L’interprétation des éléments cliniques implique l’examen complet de toutes les faces de toutes les dents des deux arcades, même si une seule dent paraît être concernée au premier regard.
5. L’usure ne peut pas être arrêtée, seulement contrôlée. Le traitement de ses conséquences fonctionnelles et esthétiques nécessite fréquemment d’être différé pour pouvoir l’inscrire dans un projet thérapeutique ultra conservateur et durable, qui implique un suivi à long terme.
Légendes des photographies :
Photographie n°1 :
Canines et prémolaires mandibulaires présentant des macro-modifications : dénudations radiculaires avec lésions cervicales d’usure cunéiformes, morphologie cuspidienne écrêtée, perte d’émail en cupules, exposition dentinaire.
Photographie n°2 :
L’attrition génère des facettes nettes et polies qui se situent sur les tables occlusales et les versants cuspidiens sur les molaires et prémolaires. Elles ont des facettes antagonistes correspondantes.
Photographie n°3 :
Les facettes d’attrition peuvent se trouver très éloignées du bord libre sur surfaces axiales des dents antérieures en cas de supraclusion.
Photographie n°4 :
Les lésions multiples situées asymétriquement par rapport à la médiane et la morphologie de l’émail vestibulaire bien conservée indiquent une abrasion par brossage.
Photographie n°5 :
La morphologie en cratère de la lésion d’usure sur la 14, laissant émerger le composite et l’aspect « fondu» de l’émail évoquent une discrète composante érosive superposée.
Photographie n°6 :
On interprète trop souvent les usures occlusales comme le résultat exclusif du bruxisme. Ce cas démontre que les contacts sont punctiformres et que la plus grande partie de la face occlusale, dépouvue d’émail, est en dessous du plan occlusal encore fonctionnel. La parafonction pourrait dans ce cas être l’effet et non la cause.
Photographie n°7 :
Effets combinés de l’érosion de l’émail vestibulaire des dents antérieures maxillaires d’origine alimentaire et brossage traumatique très fréquent.
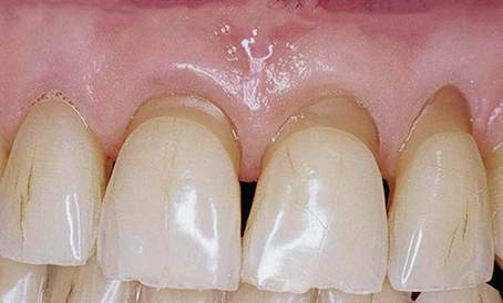
Photographie n°8 :
Le diagnostic précoce et le contrôle des facteurs étiologiques transforment les lésions : l’hypersensibilité dentinaire est atténuée puis disparaît et la gencive libre peut venir recouvrir la marge cervicale de la lésion.