L’étanchéité canalaire étant tributaire de la qualité de la restauration coronaire définitive et de la résistance des tissus résiduels, les modifications tissulaires observées en comparant l’évolution des structures dentaires après dévitalisation montrent que contrairement à ce que l’on pourrait penser, qu’il y a peu de transformation structurelle.
 
La différence de résistance observée sur une dent dévitalisée par rapport à une dent vitale tient essentiellement au volume de la partie cervicale résiduelle, l’accès, la mise en forme la désinfection et l’obturation des canaux aboutissant à une diminution des parois péricanalaires.
La plupart du temps les fractures interviennent suite à la répétition de microchocs entraînant des microfêlures, causes essentielles des fractures sur des dents non nécessairement fortement délabrées.
 
La perte de résistance de la dent dépulpée est directement liée au volume des structures dentaires résiduelles à savoir : augmentation du bras de levier au niveau des parois et suppression du plafond pulpaire.
 
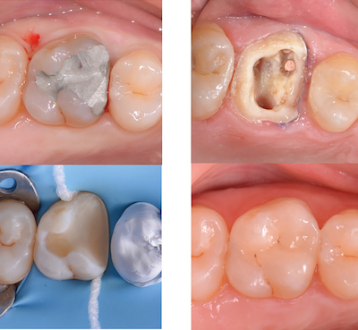
Pour assurer la pérennité de la dent, sa restauration nécessite alors un recouvrement total des structures dentaires résiduelles. Dans l’exemple ci-contre à l’obturation par amalgame d’argent a été remplacée par un inlay-onlay céramique (Emax® pressé) collé sur une base de CVI chargée en résine.