

Après équilibration occlusale de la denture, afin de supprimer des symptômes douloureux articulaires, réalisés en ORC, il est nécessaire de pérenniser cette position de référence par la réalisation d’inlay, d’onlay ou d’overlay pour établir un maximum de contacts occlusaux stables.
Le choix du matériau entre composite ou céramique n’est pas facile. Le taux moyen d’échecs annuels, des inlays en composite est de 2,9 % et de 1,9 % pour les inlays en céramique.
Les taux de survie, pour les deux matériaux, sont satisfaisants. Ils sont de l’ordre, à 5 ans, de 95 %.
À dix ans, ils sont encore de 90 % pour les inlays céramiques et de 83 % pour ceux en composite.
La possibilité de réparation en bouche est l’avantage majeur du composite. La longévité et la résistance à l’usure sont ceux de la céramique. Les préparations sont identiques pour les deux matériaux.

Les préparations doivent répondre aux contraintes de matériau (épaisseur, largeur, angle cavo-superficiel proche de 90°).
L’assemblage doit se faire par collage en associant une colle duale, sans pouvoir adhésif, à un adhésif SAM ou M&R.
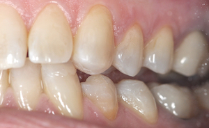
Légendes des photographies :
1. Exemple clinique après équilibration, les contacts occlusaux étaient insuffisant au niveau des dents cuspidées. Contrôle de l’épaisseur dévolue au matériau pour respecter les contraintes physiques imposées par la céramique.
2. Détails des préparations. Des limites cervicales au profil de congé rond sont établies au niveau de la table occlusale y compris sur la céramique existante dont la dépose est inutile.
3. Rendu final après assemblage des overlays et onlays.