
par Catherine Galletti et Bernard Schweitz
L’encombrement du secteur incisif mandibulaire est évolutif et de plus en plus visible avec l’âge. Il est un motif récurrent de consultation chez l’adulte. Sous certaines conditions, sa correction ne nécessitera pas forcément un traitement d’orthodontie global, et des mécaniques orthodontiques relativement localisées peuvent traiter efficacement ce défaut.
Les orthodontistes peuvent être confrontés à deux types de problèmes parodontaux dans ce secteur :
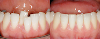
- L’apparition de triangles noirs associés à l’alignement d’incisives de forme triangulaire.
- Un risque d’apparition de récessions gingivales car le remodelage osseux qui a lieu lors du déplacement orthodontique ne répond pas aux mêmes règles s’il est mené dans le sens vestibulo-lingual ou mésio-distal.
Dans le sens vestibulo-lingual, le déplacement des racines au-delà des limites de l’enveloppe osseuse peut provoquer des déhiscences osseuses, parfois des récessions gingivales.
Pour des raisons anatomiques, ce risque est élevé dans la région antérieure mandibulaire.
Pour limiter et prévenir ces deux complications, il peut être recommandé de proscrire les mouvements faisant « sortir » la racine de l’enveloppe osseuse et de recourir à des réductions amélaires proximales (stripping), ce qui limitera l’amplitude du déplacement radiculaire en direction vestibulaire et « apicalisera » les points de contact proximaux pour diminuer ou supprimer ces triangles noirs.