par Jean-Pierre Albouy
La prothèse fixée conventionnelle est régie par le principe de respect de l’espace biologique, ce qui permet d’assurer la stabilité dans le temps de la prothèse.
En prothèse supra-implantaire, l’implant intégré dans l’os traverse la gencive. Forts d’un recul de plusieurs dizaines d’années sur les PIP, nous pouvons affirmer que la prévention des pathologies supra-implantaires type mucosite et péri-implantite doit être maitrisée, d’autant plus si le patient a perdu ses dents pour des raisons parodontales.
La mucosite péri-implantaire se définit comme la présence d’inflammation de la muqueuse péri-implantaire sans perte osseuse. C’est une réponse superficielle de l’hôte. Elle est réversible.
La péri-implantite se définit comme la présence d’inflammation associée à une perte osseuse.
Comprendre les péri-implantites
La contamination microbienne des piliers implantaires ou des implants induit deux types de réponses :
La mucosite péri-implantaire qui est limitée à la muqueuse péri-implantaire et la péri-implantite qui est plus profonde est associée à une perte osseuse.
L’infiltrat inflammatoire autour de l’implant est plus important qu’autour d’une dent, et diffère en qualité (il présente davantage de macrophages). La péri-implantite semble plus agressive que la parodontite. Dans les deux cas, la réponse inflammatoire de l’hôte est exagérée par rapport à la cause.
Prévalence des péri-implantites
Selon les études, la péri-implantite touche entre 9 % et 77 % des patients. Les différences de résultat, de différentes études, s’expliquent par des différences dans les choix de niveaux osseux pour le diagnostic de la périimplantites, les nombres de patients suivis, les durées de suivis et les centres de soins et leurs modalités.
Identification des facteurs de risque généraux.
Le parallèle se fait avec la maladie parodontale : diabète, tabac, stress, histoire de la maladie parodontale.
Suivi des patients
Le suivi continu et systématique des conditions tissulaires péri-implantaires est recommandé pour le diagnostic précoce d’une pathologie péri-implantaire. Le diagnostic repose sur la présence de plaque et/ou de tartre, la profondeur et le saignement au sondage, une éventuelle suppuration, la perte osseuse visible radiographiquement.
Pour l’instant, nous ne disposons pas de test biologique.
Traitements
Dans le cas où la poche mesure moins de 4 mm : on réalise une séance de prophylaxie supragingivale, associée à une éducation à l’hygiène orale. Dans le cas où la poche est plus profonde, le même traitement associé à une irrigation à la chlorhexidine est entrepris.

Expérimentalement, l’état de surface implantaire a une influence sur l’apparition mais également sur la réponse au traitement de la péri-implantite.
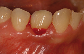
Légendes des 8 photographies :
1 - Mucosite : saignement au sondage révélant une inflammation de la muqueuse péri-implantaire sans perte osseuse.
2 - Péri-implantite mise en évidence par sondage et se traduisant par une inflammation de la muqueuse péri-implantaire avec perte osseuse.
3 - Mucosite péri-implantaire. État initial.
4 - Résultat final après détartrage local et pratique d’une hygiène rigoureuse.
5 - Péri-implantite diagnostiquée à trois ans lors d’un saignement au sondage.
6 - Vue opératoire après débridement et curetage.
7 - Vue après comblement et suture.
8 - Vue après cicatrisation.