Gestion de l’urgence : aspects clinique et administratif
par Michèle Muller-Bolla

Dès l’appel téléphonique, le chirurgien-dentiste doit préciser la conduite à tenir sur le lieu de l’accident car le maintien de la vitalité pulpaire dépend du milieu de conservation (lait écrémé) de la dent expulsée et du délai de prise en charge. Une fois au cabinet dentaire, le patient relate l’historique du traumatisme – comment ? quand ? où ? – pour déterminer les zones à investiguer, les solutions thérapeutiques envisageables et le risque de contamination nécessitant la mise à jour des rappels tétaniques. Les risques allergiques et infectieux sont évalués lors de l’anamnèse.
Une fois les plaies nettoyées, un examen exobuccal complet est pratiqué : inspection, palpation (recherche de corps étranger, fragment dentaire ou fracture osseuse), puis les tissus mous sont suturés. L’amplitude ou la déviation de l’ouverture buccale permet de suspecter une fracture du condyle ou le déplacement du ménisque. L’examen de l’occlusion met en évidence des interférences liées à une fracture osseuse, une luxation latérale ou une fracture radiculaire.
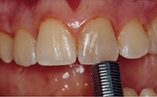
L’examen visuel minutieux des dents (mobilité, saignement, perte de tissu) peut être complété par l’utilisation d’une lampe à photopolymériser (transillumination des fêlures), les tests de percussion axiale (son métallique en cas d’intrusion ou luxation latérale) et de sensibilité pulpaire (froid). Ce dernier, au même titre que le délai de prise en charge, la taille de l’exposition pulpaire, l’amplitude de déplacement, les différents types de traumatismes associés et le stade d’édification radiculaire, constitue un facteur pronostique. Les examens radiographiques (rétro-alvéolaires, mordu occlusal) complètent donc la démarche diagnostique.
In fine, une photographie du traumatisme sert de référence pour le suivi et constitue un document à inclure dans le « certificat médical initial en médecine bucco-dentaire ». Cette précision est nécessaire chez les sujets polytraumatisés déjà pris en charge une première fois dans un service d’urgence pour compléter le « certificat médical initial » afin que la réparation du dommage se réfère à ces deux certificats. Il doit y être mentionné la date du bilan, l’identité et l’âge du patient, le délai de prise en charge, une description précise des lésions et des actes réalisés en urgence, des réserves sur la pérennité des dents concernées (au regard des facteurs pronostiques).
Le praticien traitant doit préciser l’état connu des dents antérieur au traumatisme.
Légendes des 4 photographies :
photo 1 : Conduite à tenir sur les lieux de l’accident.
photo 2 : Nettoyage des plaies à l’aide d’une compresse imprégnée de Betadine® ou de sérum physiologique.
photo 3 : Évaluation des atteintes parodontales et radiculaires par la percussion axiale.
photo 4 : Évaluation de la mobilité axiale (section du paquet vasculo-nerveux) et horizontale (fracture radiculaire ou alvéolaire).