
par Serge Armand
LE TRAITEMENT D’UNE AGÉNÉSIE des incisives latérales constitue la situation clinique la plus difficile à traiter.
Deux démarches thérapeutiques sont envisageables :
- soit un traitement de substitution dans lequel les espaces sont fermés par le placement des canines en position de latérales ( photos n°1 et n°2 ),
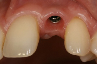
- soit un traitement de remplacement où sont aménagés des espaces pour rendre possible le remplacement de la latérale par une prothèse implanto-portée ( photos n°3 et n°4 ).




Listons les problèmes liés à l’absence de l’incisive latérale maxillaire et à son remplacement. Tout d’abord, l’écueil majeur résulte de l’étendue du temps thérapeutique lié au traitement orthodontique et à la multidisciplinarité de ces traitements qui nécessitent une coordination que n’assure pas toujours l’omnipraticien.
• Par rapport aux standards admis, l’alignement des collets est difficile à obtenir dans la mesure où l’espace biologique est différent pour les dents (2mm) et pour les implants (3 mm).
Les papilles gingivales n’existent que lorsqu’il y a des septa osseux. La convexité alvéolaire doit souvent être reconstruite par chirurgie osseuse ou mucogingivale. L’unilatéralité de l’absence de latérale induit une croissance asymétrique et un décalage entre le côté droit et le côté gauche. Il faut conserver ce décalage sans jamais chercher à symétriser les deux côtés.
• L’espace mésiodistal doit être majoré et doit être d’au moins 6 mm. 1 mm d’os entre deux dents suffit à la santé parodontale. En revanche, du fait de l’absence de vascularisation d’origine desmodontale, il est nécessaire de disposer de 1,5 mm à 2 mm d’espace entre un implant et une dent, et de 2,5 mm d’espace entre deux implants.
• Le collet clinique des dents voisines situe le niveau de positionnement vertical de l’implant. Plus l’implant est large, plus il sera situé en position occlusale, ce qui constitue un argument en faveur des implants larges, à condition que la distance mésiodistale soit respectée.
• Le schéma occlusal et l’esthétique : il est difficile de justifier le positionnement d’une canine en place de latérale tant d’un point de vue occlusal que du point de vue de l’esthétique. Le seul avantage de la technique de substitution réside dans la présence d’os, généralement constatée.
• En ce qui concerne les convergences radiculaires, un espace suffisant au niveau de la crête ne garantit pas un espace suffisant au niveau radiculaire. Cela dépend de l’orthodontie, de l’attente, mais également de la décision du patient. En effet, s’il faut reprendre le traitement, à 22 ans le patient donne son avis, ce qu’il ne faisait pas à l’âge de 12 ans.
• L’atrophie de l’os alvéolaire a pour conséquence une vascularisation uniquement corticale par le périoste. Un apport d’os autogène peut être envisagé en effectuant un prélèvement mandibulaire avec une régénération tissulaire guidée. Il faut prendre garde à ne pas surdimensionner. La membrane GoreTex® non résorbable est fixée à l’aide de vis ( photos 5 et 6 ).


Dans ces situations cliniques difficiles, l’utilisation d’un système d’assistance informatique aura de multiples avantages par rapport aux techniques classiques. À la faculté de Toulouse, le choix s’est porté sur le système RoboDent®, qui est une robotique de type passif laissant la maîtrise entière du geste au chirurgien. Ce système peut être comparé au GPS des voitures. Le choix de l’implant et son positionnement tridimensionnel sont définis lors de la phase diagnostique de planification. Ensuite, du forage à la mise en place de l’implant, le geste chirurgical est guidé sur écran. Le système se compose d’une caméra infrarouge et de capteurs qui, d’une part, sont placés sur le contre-angle chirurgical et, d’autre part, se situent sur une sorte d’arc facial extra-buccal solidaire de la gouttière chirurgicale, laquelle est scellée aux dents restantes. D’un point de vue pratique, il s’agit de centrer, dans la cible de l’écran vidéo de contrôle, le point qui se déplace et correspond au foret. On dispose, en parallèle, d’un contrôle de l’axe du forage sur le même écran.
Cette étape, qui peut sembler délicate, peut s’assimiler à une forme de jeu vidéo. Gageons que nos enfants – qui sont nés dans un environnement où ces jeux sont présents – seront beaucoup plus à l’aise dans cet exercice. Quoi qu’il en soit, on peut affirmer que l’on gagne en sécurité dans les cas difficiles, tels que l’exemple présenté de remplacement d’une incisive latérale où la crête est mince et où la topographie mucogingivale est peu favorable.