ADAM : gouttière oclusale ou rééducation musculaire ?
ADAM : gouttière oclusale ou rééducation musculaire ?
Emmanuel D'Incau
Aperçu de l’intervention de Emmanuel D’Incau
ADAM : gouttière oclusale ou rééducation musculaire ?
Exercices de mobilisation mandibulaire forcée visant à améliorer progressivement l’ouverture buccale.
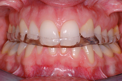
Aucune étude n’a mis en évidence l’efficacité des orthèses hormis leur effet placebo.
Recouvrantes et lisses, elle peuvent être prescrites, mais pour une courte durée.