
Atteintes des tissus péri-implantaires : prévenir, diagnostiquer, traiter
par Corinne Touboul et Patrick Missika

Deux types d’atteintes inflammatoires des tissus péri-implantaires peuvent survenir :
• La mucosite : inflammation réversible de la muqueuse, sans perte osseuse ;
• La péri-implantite : inflammation des tissus mous associée à une perte osseuse.
Elle est essentielle. Au premier rang des facteurs de risques arrivent l’hygiène bucco-dentaire, le passé de la maladie parodontale et le tabac. Viennent ensuite le diabète, l’alcool, le déficit en vitamine D, l’hypercholestérolémie, la génétique, les facteurs locaux iatrogènes (foyers infectieux, occlusion, profils d’émergence, présence de brides et de freins, tissus péri-implantaires trop fins, états de surface rugueux…) qui potentialisent la survenue de complications. Toutes les techniques de reconstructions osseuses et muqueuses permettront d’améliorer les conditions de résistance du péri-implant.
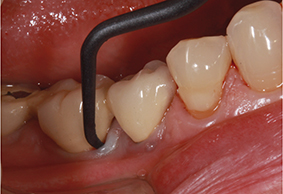
Il a lieu lors des visites de suivi et de maintenance prothétique à l’aide d’une sonde parodontale et de la radiographie (une radiographie de référence est prise le jour de la pose de la prothèse). Si aucune perte osseuse n’est associée à une profondeur de sondage de 3 mm à 4 mm, nous sommes en présence d’une mucosite. Une profondeur de sondage supérieure à 5 mm, associée à un saignement, voire une suppuration, et une perte osseuse sont les signes de la péri-implantite. La prévalence des pathologies est en constante progression. Un patient sur cinq présente une périimplantite après dix ans de fonction (Giovannoli et Renvert, 2012).
Les traitementsLe traitement de la mucosite est généralement non chirurgical. Le nettoyage est pratiqué avec des curettes spécifiques, un aéropolisseur, le laser, des irrigations d’eau oxygénée. Le patient est motivé (ou re-motivé) systématiquement. Le traitement de la péri-implantite nécessite un accès à la surface des implants, donc une voie d’abord chirurgicale, afin de débrider, décontaminer, utiliser des procédures régénératives si le défaut osseux le permet. Dans tous les cas les patients devront être inclus dans un programme rigoureux de maintenance, avec une réévaluation systématique pour contrôler la maîtrise de l’infection. Mais, « dans plus de la moitié des cas, le traitement de la péri-implantite ne conduit pas à une guérison de l’infection et au succès à long terme » (Marco Esposito).
Légendes 4 photographies :
photo 1 : Frénectomie et greffe conjonctive enfouie permettent d’améliorer l’environnement péri-implantaire et de prévenir le risque de péri-implantite.
photo 2 : La mucosite associe un saignement au sondage et une absence de perte osseuse.
photo 3 : La mucosite est généralement traitée par voie non chirurgicale avec des curettes spécifiques.
photo 4 : La péri-implantite associe saignement, voire suppuration, au sondage et perte osseuse.