Le calendrier des cycles

Laser 2026

Laser 2026

Laser

Du 25/09/2026 au 26/09/2026

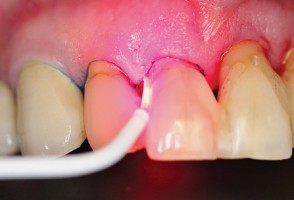
S'EXERCER Á LA PRATIQUE DU LASER EN OMNIPRATIQUE
FORMATION APPROFONDIE 24-25 SEPTEMBRE 2026
2 JOURS  1 MODULE  26 PLACES (limitées) 
7ème édition formation LASER EN OMNIPRATIQUE 2026


  En savoir plus  

Inscrivez-Vous
Laser 2025

Laser 2025

Laser

Du 25/09/2025 au 26/09/2025

S'EXERCER Á LA PRATIQUE DU LASER EN OMNIPRATIQUE
FORMATION APPROFONDIE 25-26 SEPTEMBRE 2025

2 JOURS  1 MODULE  26 PLACES (limitées) 
6
ème édition formation LASER EN OMNIPRATIQUE 2025    

  En savoir plus  

Inscrivez-Vous
Laser 2024

Laser 2024

Laser

Du 26/09/2024 au 27/09/2024

S'EXERCER Á LA PRATIQUE DU LASER EN OMNIPRATIQUE
FORMATION APPROFONDIE LES 26-27 SEPTEMBRE
2 JOURS  1 MODULE  26 PLACES (limitées) 

5ème édition formation LASER 2024  ​ 

  En savoir plus 

Cycle laser 2023

Cycle laser 2023

Laser

Du 28/09/2023 au 29/09/2023

2 JOURS DE FORMATION  1 MODULE  26 PLACES limitées 4ème ÉDITION
28 & 29 SEPTEMBRE 2023
4ème édition du cycle LASER 2023   ​

Maîtriser une démarche globale permettant une approche autonome
dans l’indication des effets lasers et dans le choix des paramètres machine adaptés à chaque situation clinique.

Responsables scientifiques et enseignants : 
Dr Amandine Para, Dr Sylvain Mareschi et Dr Laurent Vigneron.

Programme et objectifs de formation :
• Physique des lasers, effets lasers, applications en chirurgie dentaire ; TP.
• Application du laser en omnipratique (odontologie conservatrice, chirurgie simple, prothèse) et en endodontie.
• Applications en parodontie, dans le traitement des péri-implantites, en chirurgie et implantologie.

Les points forts de cette formation :
 Nouvelle équipe et nouveau programme
  Approfondissement
  Best seller 
  Clinique 

Présentation
Objectifs formation
Programme scientifique
Tarif et inscription
Modalités pratiques

Inscrivez-Vous
Cycle laser 2022

Cycle laser 2022

Laser

Du 29/09/2022 au 30/09/2022

FORMATION AU LASER ⇒ SESSION 2022 COMPLÈTE
2 JOURS  1 MODULE  26 PLACES maximum  3ème ÉDITION
29 - 30 SEPTEMBRE 2022
3ème édition du cycle court LASER 2022  ​  

Maîtriser une démarche globale permettant une approche autonome
dans l’indication des effets lasers et dans le choix des paramètres machine adaptés à chaque situation clinique.


Responsables scientifiques et enseignants : 
Amandine Para, Sylvain Mareschi et Laurent Vigneron.

Programme et objectifs de formation :

• Physique des lasers, effets lasers, applications en chirurgie dentaire ; TP.
• Application du laser en omnipratique (odontologie conservatrice, chirurgie simple, prothèse) et en endodontie.
• Applications en parodontie, dans le traitement des péri-implantites, en chirurgie et implantologie.

Les points forts de cette formation :

 Nouvelle équipe et nouveau programme
  Approfondissement
  Best seller 
  Clinique 

Présentation
Objectifs formation

Programme scientifique 
Tarifs et modalités d'inscription
Modalités pratiques 

Cycle court Laser 2021

Cycle court Laser 2021

Laser

Du 05/03/2021 au 06/03/2021

CYCLE FORMATION LASER
2 JOURS  1 MODULE  PLACES limitées  ÉDITION N°2
VENDREDI 5 ET SAMEDI 6 MARS 2021 
déjeuner assis et pause café inclus

Un cycle destiné à s’exercer à la pratique du laser en omnipratique, à choisir le matériel le mieux adapté à ses besoins.
Une large iconographie et des vidéos seront diffusées en appui pédagogique, en plus des nombreuses séances de TP et TD.

Responsables scientifiques, experts et formateurs : 
/ Dr Fabrice Baudot - parodontie et implantologie
/ Dr Jean François Chouraqui - dentisterie esthéttique, implantologie et technique de CFAO
/ Dr Jean-Yves Cochet - endodontie
/ Dr Corinne Lallam - parodontie


Les points forts de ce cycle de formation :
  Approfondissement
  Best seller 
  Clinique 

Présentation
Programme 
Tarifs et modalités d'inscription

Cycle court Laser 2019

Cycle court Laser 2019

Laser

Du 29/03/2019 au 30/03/2019

29 et 30 mars 2019 
2 jours 1 module au Sofitel Paris Arc de Triomphe 75008
déjeuner assis et pause café inclus
1ère édition du cycle Laser   

Ce cycle permettra aux participants de s’exercer à la pratique du laser avec la mise à disposition d’appareils.
Des vidéos seront diffusées en appui pédagogique.


Responsable scientifique et pédagogiques : 
Fabrice Baudot, Jean François Chouraqui, Jean-Yves Cochet et Corinne Lallam.
 

Présentation
Programme et Module      
Tarifs et Modalités d'inscription