Du 05/12/2024 au 21/06/2025
11ème édition formation DENTISTERIE ESTHÉTIQUE 2024-2025
POUR UNE MAÎTRISE DE LA DENTISTERIE ESTHÉTIQUE
9 JOURS DE FORMATION APPROFONDIE + 2 JOURS EXTENSION DPC
⇒ NOUVEAU PROGRAMME AVEC EXTENSION DPC
⇒ NOUVELLES DATES EN 2024 ET 2025
3 MODULES 9 JOURS + 1 MODULE FACULTATIF 2 JOURS DPC ⇒ 24 PLACES MAXIMUM
Formation en présentiel avec support pédagogique en ligne via SOP-Campus.
Enjeux de formation :
Comprendre et maîtriser l’adhésion et l’ensemble des thérapeutiques restauratrices et prothétiques minimalement invasives, pour une dentisterie esthétique pérenne.
`Avec 9 jours de formation, et 2 jours suppémentaires en option DPC, voici l'une des formation approfondie en dentisterie esthétique la plus complète de France !
Toutes les journées de ce cycle comprennent une partie théorique et une partie Travaux Pratiques, permettant de mettre immédiatement en application l'enseignement.
Deux jours de formation habilités DPC : extension facultative
SOP / ODPC n° 1263 
Dates : vendredi 20 et samedi 21 juin 2025
Tiitre : Prise en charge des érosions et usures par restaurations directes en composite
Attention : ouverture des inscriptions à cette session en 2025 !
Comment s'inscrire au DPC ?
⇒ Tout savoir sur cette acion DPC, informations et modalités d'inscription
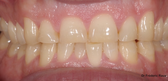
• Analyse esthétique et planification thérapeutique • Choix de la couleur • Photographie et communication avec le laboratoire • Diagnostic et traitements des dyschromies • Composites et adhésion aux tissus dentaires • Les céramiques et les modes d’assemblage • Prise en charge de l’édentement unitaire antérieur: implant vs bridge collé & aménagement parodontal • Restaurations directes en composite : secteur antérieur & postérieur. • Restaurations indirectes : Facettes et onlays ; mock up - préparations - assemblage • Prise en charge des érosions et usures dentaires.
Drs Cédrik Bernard, Éric Bonnet, Martin Brient, Alex Dagba, Julien Mourlaas, Frédéric Raux, Bertrand Tervil et Florent Trévelo.
Responsable formation : Dr Bertrand Tervil (entretien à lire)
Les points forts de cette formation :
Formation validante avec deux jours en option DPC
Best seller
Clinique
Approfondissement
Plateforme e-learning SOP-Campus
Présentation
Programme formation
Programme scientifique
Tarifs et inscription
Information, dates et modalités pratiques
⇒ NOUVELLES DATES EN 2024 ET 2025
⇒ Valider uniquement les deux jours en DPC ⇒ les vendredi 20 et samedi 21 juin 2025
formation mixte en e-learning et en présentiel sur SOP-Campus
Module n°1 : trois jours : jeudi 5, vendredi 6 et samedi 7 DÉCEMBRE 2024
Module n°2 : trois jours : jeudi 9, vendredi 10 et samedi 11 JANVIER 2025
Module n°3 : trois jours : jeudi 27, vendredi 28 et samedi 29 MARS 2025
Module n°4 : deux jours habilités DPC : vendredi 20 et samedi 21 JUIN 2025
> extension facultative DPC
Un parcours complet pour maîtriser les techniques de dentisterie adhésive à visée esthétique (analyse esthétique, traitement dyschromies, stratification composites, onlay, facette, etc).
Chacune des journées du cycle esthétique comprend une partie théorique et une partie TP, permettant de mettre immédiatement en application l'enseignement.
De nombreux support pédagogiques et vidéo seront accessibles depuis la nouvelle plateforme SOP-Campus.

Les participants trouveront des contenus enrichis et autres formations en ligne, pour les accompagner lors de ce cycle de formation !
Tous recevront un lien de connexion à cette nouvelle plateforme e-learning SOP-CAMPUS ( SOP-Campus )
La formation approfondie en dentisterie esthétique compte 9 jours ( ou 11 avec l’extension facultative éligible au DPC) de formation présentielle.
Elle se déroulera du 5 décembre 2024 au 21 juin 2025 et est organisée en 3 ou 4 modules.
Présentation formation DENTISTERIE ESTHÉTIQUE 2024-2025 - SOP
Maîtriser les techniques de dentisterie adhésive à visée esthétique
(analyse esthétique, traitement dyschromies, stratification composites, onlay, facette, etc.).
A l’issue de cette formation, vous aurez la capacité de :
• Détermination de la couleur ; diagnostic et traitements des dyschromies + TP.
• Matériaux : composites et adhésion aux tissus dentaires + TP.
• Photographie et communication avec le labo + TP.
• Analyse esthétique et planification thérapeutique+ TD.
• Édentement unitaire antérieur : aménagement parodontal ; implant vs bridge collé + TP.
• Comment réussir les thérapeutiques implantaires
• Restaurations directes en composite + TP.
• Restauration de la dent dépulpée + TP.
• Restaurations indirectes : facettes et onlays + TP.
Moyens et méthodes pédagogiques
Formation mixte
10 jours en présentiel avec une partie théorique et une partie TP, permettant de mettre immédiatement en application l'enseignement.
Avant, pendant et après les 11 journées de formation en présentiel, formation en distanciel avec multiples supports pour une formation en distanciel innovante via la plateforme e-learning SOP-Campus :
Quizz, QCM, topos, fiche pratique, espace d'échange et d'interaction entre participants et avec les enseignants, etc.
Méthodes pédagogiques
Axé sur la théorie et la pratique au travers de travaux pratiques réalisés immédiatement après acquisition du contenu théorique.
Formations théoriques par présentations PowerPoint/keynote, Travaux dirigés, démonstrations en direct sur modèles pédagogiques, Travaux pratiques exécutés par les stagiaires sur modèles pédagogiques.
Matériel pédagogique
Présentations powerpoint, cours interactifs avec travaux pratiques.
Mise à disposition au participant de l’ensemble des matériels et matériaux nécessaires.
Formation à destination des Chirurgiens-Dentistes *, qu’ils pratiquent ou non de la chirurgie,
- exercant en libéral, salarié ou en tant que salarié (d'un centre de soins, d'un centre hospitalier ou d'un cabinet indépendant),
Pré-requis de participation
Être en possession d'un Doctorat en chirurgie dentaire (ou praticien en cours de doctorat ayant validé leur CSCT ou équivalent européen).
Modalités d'évaluation initiale du positionnement et des acquis
Questionnaire QCM ante formation via la plateforme SOP-Campus.
Modalités d'évaluation continue
Questionnaire QCM post formation via la plateforme SOP-Campus.
Taux de satisfaction
Lors des deux précedentes de la formation en dentisterie esthétique (2022-2023 & 2023-2024), voici la moyenne pour tous les participants :
- taux de satisfaction par rapport à leurs propres attentes de 99,5 %
- taux de satisfaction sur l'amélioration dans la pratique quotidienne de 96 %
Module 1 / 4 de 3 jours de formation

Module 4 / 4 de deux jours de formation continue habilitée DPC > extension facultative
Dr Bertrand Tervil (entretien à lire dans la présentation)
Tarif inscription 9 jours : 4.950 €
Tarif inscription 2 jours extension facultative DPC : + 1.800 euros
... avec prise en charge DPC de 1.540 € ...
... soit deux jours de formation DPC à partir de ... 260 € !
FORMATION COMPLÉTE ⇔ FIN DES INSCRIPTIONS
![]()
TARIF PRÉ-INSCRIPTION
Acompte pré-inscription : 1.350 €
ATTENTION : LE NOMBRE DES PLACES EST LIMITÉ à 24 PRATICIENS → inscrivez-vous en ligne
Pour toute question relative aux tarifs,
merci de contacter Isabel de la SOP au 01.42.09.29.13 ou par courriel : sercretariat@sop.asso.fr
⇒ Règlement par Carte bancaire
(site sécurisé) : ► Paiement en ligne
⇒ Règlement par Chèque bancaire :
chèque à retourner libellé à l'ordre de la SOP accompagné du bulletin d'inscription
dûment complété
à l'adresse suivante : SOP - 6 rue Jean-Hugues - 75116 Paris
PRATICIEN CONVENTIONNÉ
DEMANDE DE PRISE EN CHARGE PAR LE DPC
Comment valider vos deux jours extension DPC avec SOP ?
SOP / Organisme DPC n° 1263 
Action n° 12632325002 Session n° à venir en 2025
Titre : Prise en charge des érosions et des usures par restaurations directes en composites
Tarif inscription : 1.800 €
Prise en charge maximum DPC : 1.540 €
Reste à charge pour le participant : 260 €
Attention : ouverture en 2025 des inscriptions à cette action DPC
étape 1 ⇒ inscrivez-vous à la SOP (tarif d'inscription remboursé )
étape 2 ⇒ recherchez et inscrivez-vous à l'Action DPC
PRATICIENS EN EXERCICE LIBÉRAL
![]()
► DEMANDE DE PRISE EN CHARGE par le FIF PL ⇒ à remplir et demander en ligne sur leur site
Code NAF : 8559A
Numéro activité SOP : 11 75 69 53 975
► Fiche formation formation DENTISTERIE ESTHÉTIQUE 2024-2025 - SOP
PRATICIENS SALARIÉS
► Pour les praticiens salariés, la demande de prise en charge se fait auprès de l’organisme paritaire agréé.
Durée : 11 jours soit 77 heures de formation en présentiel
Dates : 3 jours en janvier, 3 jours en mars, 3 jours en juin, deux jours juin 2024
Format : 2 jours habilités DPC (extension facultative)
Type de formation : formation longue, approfondie et pratique (TP et TD)
Matériel nécessaire à apporter par le participant :
(en plus du matériel fourni par la SOP)
Horaire : 9h00 → 17h30
Début de la formation : 9h00 (accueil à partir de 8h30)
Pause déjeuner : 12h30 →14h00
Fin de la formation : 17h30 - 18h00
Les cours débutent à 9 heures précises les jeudis et vendredi. L’accueil avec café, thé et viennoiserie est assuré dès 8h15.
Une pause café est prévue vers 10h30.
Le déjeuner pris sur place a lieu vers 13h
Reprise vers 14h.
Pause vers 15h30.
Fin des cours vers 17h30-18h00.
Les samedis, tous les horaires sont avancés d’une demi heure : début des cours à 8h30 précise et fin de journée entre 17 heures et 17H30.
Nombre de stagiaires minimum par session : 20
Nombre de stagiaires maximum par session : 24
![]()
Pause-Déjeuner assis : 12h30 → 14h00
Un déjeuner convivial et des pauses cafés sont compris avec votre inscription.
Personnes en situation de handicap :
Nous sommes disponibles pour échanger avec vous sur vos besoins afin de mettre en place les solutions optimales pour vous accueillir.
Merci de nous envoyer un message sur la boite mail : secretariat@sop.asso.fr
Référent Handicap de la SOP : Mme Isabel Mabondzo répondra à toutes vos questions et notre lieu de formation.
Hôtel Napoléon
Salon de l'Étoile - 40 avenue de Friedland 75008 Paris - Tél.: (+33) 1 56 68 43 21
Contact email: napoleon@hotelnapoleon.com [cliquez-ici]
PLAN ET MOYEN D'ACCÈS :
Métro ou RER : Charles-De-Gaulle-Étoile
Bus numéros 31, 52, 73, 341
Plan, accès et localisation de l'hôtel Napoléon
Renseignement SOP : contacter Isabel au Tél: 01 42 09 29 13 ou par courriel au secrétariat de la SOP (secretariat@sop.asso.fr)
Documents utiles à télécharger :
#3F8FA6 #6CC5DC / SOP 2023-2024-2025 ©